Tooth-Supported Guide: Single Or Multiple Implants
Our tooth-supported surgical guides offer exceptional stability and precision by anchoring directly to the patient’s existing dentition.
Tissue-Supported Guide:
Full Arch
Our full-arch tissue-supported guides provide reliable stability using the patient’s soft tissue, making them ideal for edentulous cases.
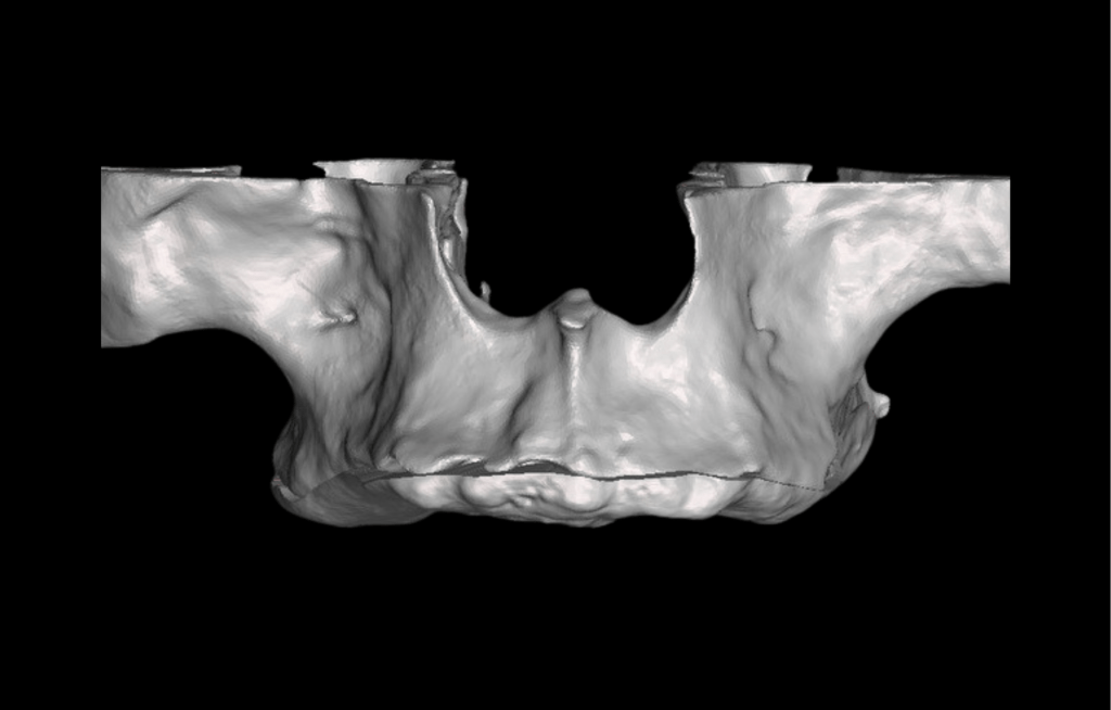
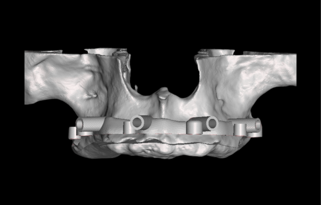
Bone-Supported Guide:
Full Arch
Our bone-supported guides rest directly on the patient’s bone to ensure precise implant positioning. Ideal for reduced bone situations or advanced surgeries.
Stackable Guides
Our stackable guides offer a versatile, step-by-step approach for complex implant procedures. Designed to be layered, they provide precise guidance at each stage of surgery.

















